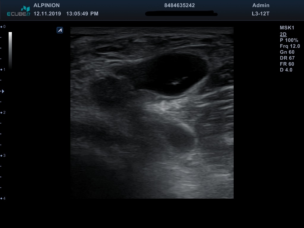
Κύστη Baker
H κύστη Baker ή ιγνιακή κύστη είναι συλλογή υγρού στον ιγνιακό βόθρο.Προκύπτει από επικοινωνία της άρθρωσης του γόνατος με τον θύλακο του ημιυμενώδους-γαστροκνήμιου μυός.
Συνήθως προβάλει ανάμεσα στον τένοντα του υμιυμενώδους μυός και σε αυτόν της έσω κεφαλής του γαστοκνημίου. Βρίσκεται στην οπίσθια και έσω περιοχή του γόνατος σχετικά μακριά από τα ιγνιακά αγγεία.
Εμφανίζεται στα πλαίσια εκφυλιστικής αρθροπάθειας του γόνατος, μετά από τραυματισμό ή σε ρευματοειδή αρθρίτιδα.

Υπάρχουν κύστεις που έχουν αποκοπεί από το θύλακο της άρθρωσης του γόνατος και άλλες που διατηρούν την επικοινωνία τους με αυτήν, συνήθως με μονόπλευρη ροή υγρού με μηχανισμό δίκην βαλβίδας.
Τις περισσότερες φορές οι κύστεις Βaker δεν προκαλούν συμπτώματα και η εντόπιση τους γίνεται τυχαία στα πλαίσια απεικονιστικών εξετάσεων, ενώ άλλες φορές είναι συμπτωματικές, ειδικά αν είναι μεγάλες, αν πιέζουν άλλες ανατομικές δομές ή αν υποστούν ρήξη.
Η απεικόνισή τους γίνεται μέσω υπερήχου ή μαγνητικής τομογραφίας. Η παρακέντηση της κύστης μπορεί να γίνει εύκολα με καθοδήγηση υπερήχου και αποτελεί οριστική ή προσωρινή θεραπεία. Η αντιμετώπιση είναι κατά κανόνα συντηρητική και σπάνια απαιτείται χειρουργική επέμβαση
Ημιυμενώδης μυς (semitendinosus)
Κύστη Baker
Έσω κεφαλή γαστροκνημίου μυός (gastrocnemius)